症例紹介
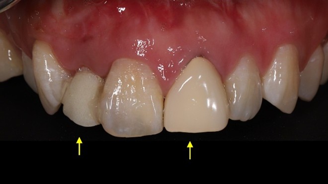
前歯の痛みと違和感に長年悩まれて来院された患者様

前歯の虫歯治療を繰り返し受けておられ、数年前から痛みや違和感・見た目の悪さに悩んでおられ意を決して来院された患者様。検査をすると↑の2本の歯は抜歯するしか治療法がないことが分かりました。
抜歯と同時にインプラントを埋め込む「即時埋入」で対応できることが判明

精密検査の結果、抜歯と同時にインプラントを埋め込む即時埋入で対応できることが分かりました。即時埋入は治療期間の短縮と、インプラント手術後の痛みや腫れが少ない治療法です。インプラントを正確な位置に埋め込むためのサージカルガイドと、仮歯を事前に準備して施術を行うこととしました。
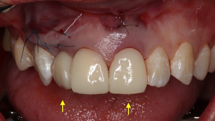
手術直後

手術直後ですが、仮歯も装着し患者様は見た目もそれほど気にすることなく生活を送ることができました。当院では特に前歯のインプラント治療では、手術直後の見た目にもこだわって治療を行っています。
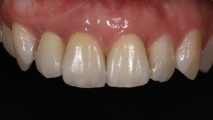
治療後

4ヵ月で最終的なセラミック冠を装着しています。痛みや違和感もなくなり、見た目にも満足していただくことが出来ました。
治療詳細
| 年代・性別 | 30代 女性 |
| 主訴 | 上の前歯の痛みや違和感 インプラント治療希望 |
| 治療内容 | 上の前歯2本のインプラント 左上前歯1本のセラミック治療 (合計3本) |
| 治療費用 | 前歯3本分の治療費:1365000円 |
| 治療期間 | 期間4ヵ月 |
| リスク・副作用 | 歯を抜くのと同時にインプラントを埋め込む即時埋入は稀にですが、追加治療が必要になる危険があります。 抜歯時の状況によっては抜歯と同日にインプラントを埋めることができないことがあります |
監修者情報

院長 増田 英人
- 私立高槻中学・高校卒(1994年)
- 国立広島大学歯学部卒(2001年)
- 神戸市 まつだ歯科勤務
- まつだ歯科副院長
- 豊中市 まとば歯科副院長
- 豊中市 ますだ歯科医院開設(2008年)
- 医療法人ライフスマイル開設(2014年)
- ニューヨーク大学インプラント科短期留学プログラム卒業(2016年)





