症例紹介
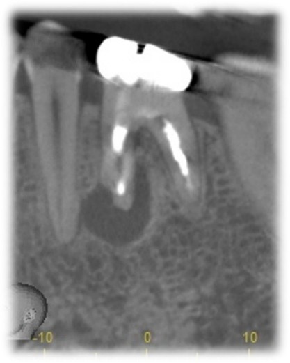
歯根破折で来院された患者様


差し歯が入っている歯に痛みが出て他の歯科医院を受診したところ根にひびが入っていて抜歯が必要だということで、セカンドオピニオンで当院に来院されました。
歯を抜かずに残せるのであればそれがベストなので、当院でも冠を外して精査しましたが残念ですが抜歯するしか方法がありませんでした。
第一大臼歯(奥から2番目の歯)は6歳前後に一番初めに生えてくる奥歯の永久歯なので、若い時に神経をとっていることも多く、そうなると50代前後で残っている歯根が破折して抜歯になることも残念ながら多くあります。 今後長期的なことを考えると両隣の歯を削ってブリッジをするのは極力避けることをお勧めします。
即時埋入で対応できることを確認


根の先には根尖病変(虫歯が原因で骨が溶けてしまっている状態)もありましたが、即時埋入で対応することができると判断しました。
条件によっては即時埋入が出来ないことも多くありますが、もし即時埋入が可能であれば術後の痛みや腫れも少なく、短期間で冠をかぶせることが出来ます。
約40分の治療時間で抜歯とインプラント埋め込みが終了しました。
術後も痛みや腫れはあまりなく順調に経過しました。
治療後

4ヵ月で最終的なセラミック冠を装着しています。
もし抜歯と診断されて、インプラント治療を検討される場合には抜歯前に詳細な検査を受けることをお勧めします。「ひとまず抜歯してから考えましょう」という安易な抜歯はインプラント治療が大掛かりになってしまう可能性もありえます。当院ではなるべく手術後の痛みや腫れの少ない、治療期間の短い方法を考えて取り組んでいます。
治療詳細
| 年代・性別 | 40代 女性 |
| 主訴 | 歯ぐきが腫れて痛い 他院で抜歯と診断された |
| 治療内容 | 左下奥歯に抜歯と同時にインプラントを埋め込み |
| 治療費用 | 550000円 |
| 治療期間 | 期間4ヵ月 |
| リスク・副作用 | 即時埋入はごくまれに骨と結合しないことがあります。 その場合期間が長くなります(追加費用はかかりません)。 インプラントが歯周病になるリスクが高くなるので、治療後の日々のセルフケアと定期的なメンテナンスがより重要になります。 |
監修者情報

院長 増田 英人
- 私立高槻中学・高校卒(1994年)
- 国立広島大学歯学部卒(2001年)
- 神戸市 まつだ歯科勤務
- まつだ歯科副院長
- 豊中市 まとば歯科副院長
- 豊中市 ますだ歯科医院開設(2008年)
- 医療法人ライフスマイル開設(2014年)
- ニューヨーク大学インプラント科短期留学プログラム卒業(2016年)





