症例紹介
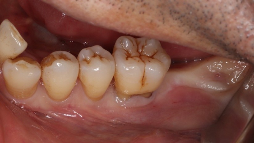
重度歯周病の患者様

もともと歯が揺れるということで来院された患者様で、検査をすると重度の歯周病でした。当院はインプラントに力を入れていますが「ご自身の歯」に勝るものはありません。外科治療も含めて徹底的な歯周病治療を行いました。
その後にすでに失っていた左下奥歯にインプラント治療をすることになりました。インプラントも歯周病になる(インプラント周囲炎)リスクがあり、インプラント周囲炎は普通の歯周病以上に治療が大変となります。
どのような場合も「まずは歯を助ける」ことを最優先に治療を考えています。
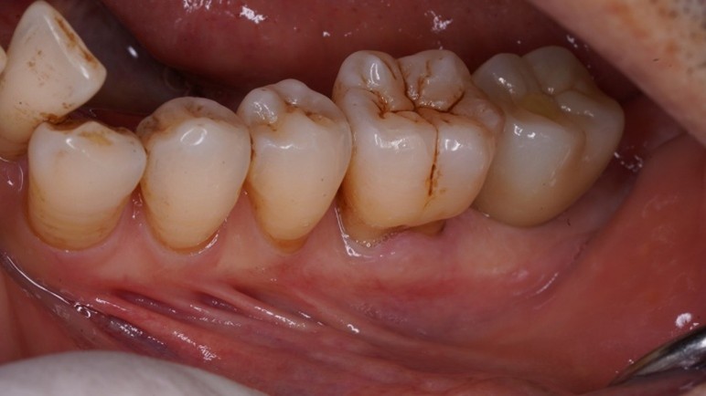
6㎜の長さのショートインプラントで治療することを決定

歯周病で歯を失った部分はすでに大きく骨がやせています。当院では骨造成などの処置も行っていますが、大掛かりな手術になるほどどうしても術後の腫れや痛み、長い治療期間が避けられなくなります。今回は6㎜という短い長さのインプラントで対応することにしました。
手術後腫れや痛みもほとんどなく、手術時間も約15分で済みました。
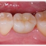
治療後


2ヵ月で最終的なセラミック冠を装着しています。下顎の奥歯に関しては6㎜という短い長さのインプラントでも十分長持ちすることが今では分かっています。
当院ではなるべく手術後の痛みや腫れの少ない、治療期間の短い方法を考えて取り組んでいます。
治療詳細
| 年代・性別 | 50代 男性 |
| 主訴 | 歯がゆれて気になる 歯周病治療希望 |
| 治療内容 | 歯周病治療の上で、左下奥歯に1本インプラント治療 |
| 治療費用 | 420000円 |
| 治療期間 | 期間2ヵ月 |
| リスク・副作用 | 治療後はしっかりとメンテナンスを行わないと歯歯周病の方は、インプラント治療の前に徹底した歯周病治療が必要です。 インプラントが歯周病になるリスクが高くなるので、治療後の日々のセルフケアと定期的なメンテナンスがより重要になります。 |
監修者情報

院長 増田 英人
- 私立高槻中学・高校卒(1994年)
- 国立広島大学歯学部卒(2001年)
- 神戸市 まつだ歯科勤務
- まつだ歯科副院長
- 豊中市 まとば歯科副院長
- 豊中市 ますだ歯科医院開設(2008年)
- 医療法人ライフスマイル開設(2014年)
- ニューヨーク大学インプラント科短期留学プログラム卒業(2016年)



