症例紹介
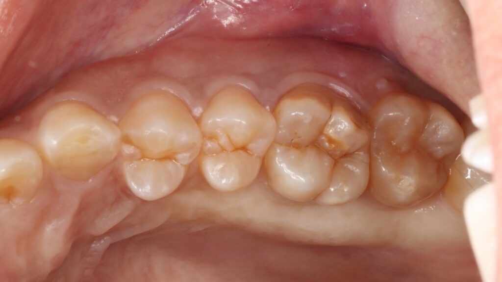
上の奥歯に強い痛みを訴えて来院された患者様


左上の奥歯に強い痛みを訴えて他院を受診したが何も問題ないと言われ、セカンドオピニオンを希望し当院に来院された患者様です。
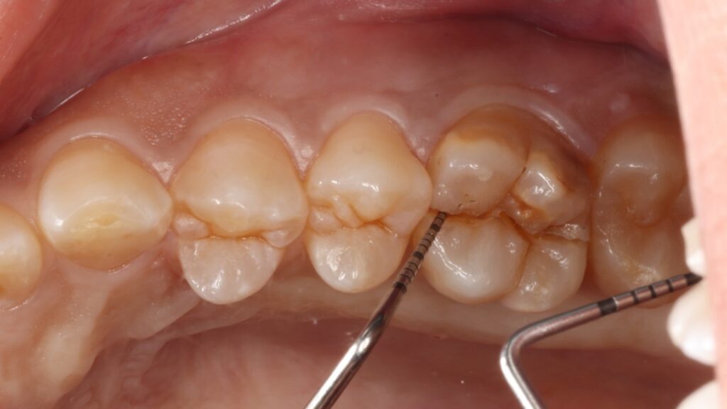
虫歯も歯周病もなく、一見何の問題もないように見えましたがマイクロスコープ(顕微鏡)で詳しく確認すると噛む力に歯が負けて真っ二つに割れてしまっていました。
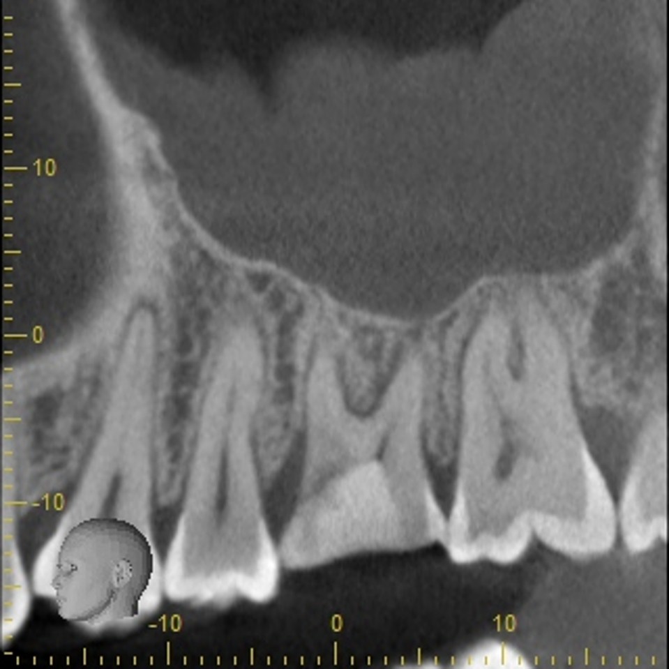
このように健康な歯が真っ二つに割れることはめったにないのですが、こうなると神経に触る様な強い痛みが出ますし、CTスキャンをとると上顎洞炎にもなっていました。


歯が二つに割れてしまった場合は残念ですが抜歯するしか方法がありませんでした。
今後長期的なことを考えると両隣の歯を削ってブリッジをするのは極力避けたいという患者様の思いもありインプラント治療をすることになりました。
即時埋入での対応


上の奥歯は上顎洞までの距離が短くインプラントが難しいことも多いのですが、即時埋入用に開発されたインプラントを使えば抜歯と同時にインプラント埋め込みまで行うことができると判断しました。
約1時間で抜歯とインプラント埋め込みが終了しました。
条件によっては即時埋入が出来ないことも多くありますが、もし即時埋入が可能であれば術後の痛みや腫れも少なく、短期間で冠をかぶせることが出来ます。
術後も痛みや腫れはあまりなく順調に経過しました。
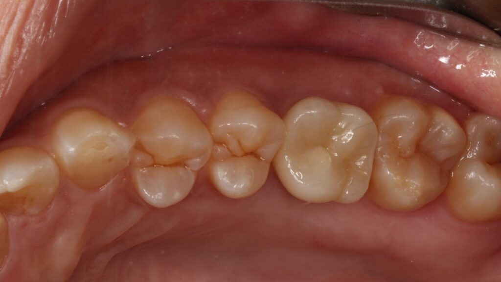
治療後

4ヵ月で最終的なセラミック冠を装着しています。


CTスキャンで確認してみても上顎洞炎もきれいに治っていることが分かります。
歯が割れた原因は無意識の噛みしめや歯ぎしりなので、就寝時にマウスピースを使うなどの対応もしています。
もし抜歯と診断されて、インプラント治療を検討される場合には抜歯前に詳細な検査を受けることをお勧めします。「ひとまず抜歯してから考えましょう」という安易な抜歯はインプラント治療が大掛かりになってしまう可能性もありえます。当院ではなるべく手術後の痛みや腫れの少ない、治療期間の短い方法を考えて取り組んでいます。
治療詳細
| 年代・性別 | 40代 女性 |
| 主訴 | 左上の奥歯に激痛がある 他院で問題ないと言われた |
| 治療内容 | 左下奥歯に抜歯と同時にインプラントを埋め込み |
| 治療費用 | 550000円 |
| 治療期間 | 期間4ヵ月 |
| リスク・副作用 | 即時埋入はごくまれに骨と結合しないことがあります。 その場合期間が長くなります(追加費用はかかりません)。 インプラントが歯周病になるリスクが高くなるので、治療後の日々のセルフケアと定期的なメンテナンスがより重要になります。 |
監修者情報

院長 増田 英人
- 私立高槻中学・高校卒(1994年)
- 国立広島大学歯学部卒(2001年)
- 神戸市 まつだ歯科勤務
- まつだ歯科副院長
- 豊中市 まとば歯科副院長
- 豊中市 ますだ歯科医院開設(2008年)
- 医療法人ライフスマイル開設(2014年)
- ニューヨーク大学インプラント科短期留学プログラム卒業(2016年)




